Os dejo un video de National Geographic "En el vientre materno". Corresponde al 3r capítulo. Cuando indica las semanas de gestación del embrión las cuenta desde la fecundación, así, cuando en el vídeo dice 6 semanas de gestación se refiere a 8 semanas de embarazo tal como las contamos desde la última regla.
Páginas
sábado, 31 de diciembre de 2011
7 semanas y 2 días
Llevo 2 días sin pérdidas pero no estoy segura de si es buena señal o no... Bueno, en cualquier caso, hoy es fin de año y, a pesar de estar en casa recluida, estoy contenta: al fin diremos adiós al 2011.
Sigo con nauseas y arcadas todo el día, sobretodo por la mañana, y duermo 12 horas :) Un síntoma que no he comentado hasta ahora es el sabor metálico que tienen los alimentos a primera hora de la mañana. Lo empecé a notar a las 5 semanas pero pensé que era el zumo de naranja... pero no, confirmo que es el embarazo y que aun lo sigo notando. También sigo con el dichoso estreñimiento y con las nauseas casi no como nada... así que he adelgazado 1kg (perfecto pq con las hormonas y el reposo había engondado 2,5 desde el principio de la estimulación...)
¡Espero que mi peque siga enganchadito y creciendo! Hoy tiene ya 37 días y esta semana crecerá mucho, casi duplicará su tamaño, y ya empezarán a formarse los deditos de las manos y los pies. Una apertura con forma de boca aparece y los ojos se acabarán de desarrollar. Al final de esta semana el cerebro tendrá tres divisiones igual que un bebé totalmente desarrollado o un adulto.
Sigo con nauseas y arcadas todo el día, sobretodo por la mañana, y duermo 12 horas :) Un síntoma que no he comentado hasta ahora es el sabor metálico que tienen los alimentos a primera hora de la mañana. Lo empecé a notar a las 5 semanas pero pensé que era el zumo de naranja... pero no, confirmo que es el embarazo y que aun lo sigo notando. También sigo con el dichoso estreñimiento y con las nauseas casi no como nada... así que he adelgazado 1kg (perfecto pq con las hormonas y el reposo había engondado 2,5 desde el principio de la estimulación...)
¡Espero que mi peque siga enganchadito y creciendo! Hoy tiene ya 37 días y esta semana crecerá mucho, casi duplicará su tamaño, y ya empezarán a formarse los deditos de las manos y los pies. Una apertura con forma de boca aparece y los ojos se acabarán de desarrollar. Al final de esta semana el cerebro tendrá tres divisiones igual que un bebé totalmente desarrollado o un adulto.
miércoles, 28 de diciembre de 2011
6 semanas y 5 días... Primer susto
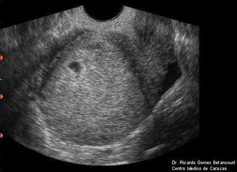
Pues efectivamente hoy hemos tenido el primer susto. Las temidas pérdidas han llegado. Evidentemente nos hemos dado un susto de muerte porque eso es lo último que esperas cuando estás embarazada. Ha sido muy abundante y rojo intenso, como si me hubiera venido la regla. Hemos ido corriendo al hospital, yo llorando y mi marido con una cara de traspuesto que podría haber sido un personaje de película de terror. En urgencias nos ha tocado esperar una hora, pero finalmente ha llegado el médico y nos ha tranquilizado. El bebé está bien, hemos oído los latidos del corazón y ya mide 1,29cm! El sangrado viene de un hematoma retrocorial en la zona inferior del saco gestacional. El médico nos lo ha explicado muy bien: Imaginaros una gota de aceite que cae encima de un libro que estáis forrando con aironfix (el plástico que se pega en las tapas). Al poner el plástico por encima de la gota ésta se reparte y queda como una "superficie virtual" de aceite entre el plástico y el cartón de la tapa del libro. Pues eso es lo que ocurre entre el saco gestacional y la matriz, se forma una "superfície virtual de sangre" alrededor del saco por donde se intercambian los nutrientes entre el bebé y la madre. A veces se acumula demasiada sangre en una zona y genera un hematoma retrocorial. Si este hematoma crece podría despegar el saquito y provocar un aborto, ese es el riesgo y es lo que nos ocurrió en marzo cuando estaba de 6 semanas. Estuvimos una semana con pérdidas y cada vez que nos hacían una eco el hematoma era más grande y al final acabó por arrastrar al peque. Fue muy triste y el principio de nuestro año horrribilis.
El día 1 tendremos que volver a ir a urgencias para un seguimiento. Ya os contaré.
En la ecografia podéis ver el saco gestacional con el bebé (1,29cm) y debajo el hematoma (2.26x1.23cm).
El día 1 tendremos que volver a ir a urgencias para un seguimiento. Ya os contaré.
lunes, 26 de diciembre de 2011
¡¡FELIZ NAVIDAD!!
Hoy es un día muy importante para nosotros. Además de ser Navidad, nos dimos cuenta que es el día que perdimos el primer embarazo el mes de marzo. Aun tenemos días tristes porque, a pesar de tener ahora buenas noticias, lo ocurrido durante este 2011 no se olvida en un momento. Hemos estado profundamente tristes, hundidos y desanimados durante muchos meses y cuando empezábamos a levantar cabeza nos volvían a dar un mazazo y vuelta a empezar. Dicen que un sufrimiento sostenido es muy duro: los abortos de repetición y las decepciones por problemas de fertilidad se repiten una y otra vez y te dejan sin fuerzas para levantarte.
Así que enhorabuena a todos los que seguimos luchando porque somos valientes, decididos y nos levantaremos cada vez que nos hundamos... y, además, sabemos que será bastante a menudo ;-)
Yo sigo con mis náuseas matitunas y estreñimiento. Me he comprado "Cariban" y va super bien para las arcadas, y supositorios de glicerina para ir al baño sin problemas. El pequeñín sufre muchos cambios durante la séptima semana, al final ya tiene brazos y piernas!.La próxima semana tendremos la eco de los dos meses, ya estamos super impacientes!
¡¡Feliz Navidad a todos!!
jueves, 22 de diciembre de 2011
6 semanas ... las náuseas
Hoy ya cumplimos 6 semanas y las náuseas y los mareos se han apoderado de mis mañanas. Lo cierto es que todo el día me siento rara, con la barriga revuelta y muy muy cansada. ¡Es normal! síntomas de embarazo ... bienvenidos sean :) Después de lo que nos ha costado ahora no me voy a quejar...
De la 6ª a la 10ª semana el embrión se convierte en feto. Ahora tiene ya 28 días de gestación y mide unos 3mm. El corazón late regularmente, se empiezan a formar las extremidades y los ojos se pueden distinguir aunque se encuentran a ambos lados de la cabeza, no en la zona de la frente. Durante las próximas semanas se producen la mayor parte de los defectos del embrión ya que es muy sensible a drogas, alcohol, virus, medicamentos... Me coge en plenas Navidades con un frío... una bufanda, unos buenos calcetines y pasar el menor tiempo posible en la calle.
Consejos que me han dado mis amigas para evitar las náuseas:
De la 6ª a la 10ª semana el embrión se convierte en feto. Ahora tiene ya 28 días de gestación y mide unos 3mm. El corazón late regularmente, se empiezan a formar las extremidades y los ojos se pueden distinguir aunque se encuentran a ambos lados de la cabeza, no en la zona de la frente. Durante las próximas semanas se producen la mayor parte de los defectos del embrión ya que es muy sensible a drogas, alcohol, virus, medicamentos... Me coge en plenas Navidades con un frío... una bufanda, unos buenos calcetines y pasar el menor tiempo posible en la calle.
Embrión de 6 semanas
Consejos que me han dado mis amigas para evitar las náuseas:
- Comer poca cantidad 4-5 veces al día para mantener el estómago lleno.
- Nunca salir de casa sin unas galletas, algo de fruta o unas tortitas de arroz.
- Beber mucha agua.
- Comida ligera, fácil de digerir (verdura hervida, sopas, tortilla...)
miércoles, 21 de diciembre de 2011
5 semanas y 6 días Primera ECO!!!
Ayer teníamos visita con el ginecólogo a las 19.30 y 10 minutos antes yo ya estaba llorando... qué nervios! Era mi gine habitual y estaba tan contento como nosotros porque conoce nuestra historia. Calculó fechas y lo apuntó todo en el historial: última regla el 10 de noviembre, ovulación (punción) el 24 de noviembre.... fecha de parto probable: 16 de agosto de 2012!!!! Medicación actual: Progesterona, Aspirina 100 y Natalben. Con todos los datos actualizados llegaba el momento temido... la eco. Estaba de 5+5 así que era posible que no viéramos nada pero... voilá! un saquito precioso y grande con una lentejita y saco vitelino perfectos. Y la lentejita... latía! La sensación que tuvimos es indescriptible: alivio, felicidad, incredulidad, sentir todas las decepciones de este 2011 en el pasado, los esfuerzos compensados, gratitud infinita, consuelo... Fue increíble.
No pudimos hacer ninguna foto, pero se veía un poco mejor que el vídeo que colgué hace un par de días. El corazón latía con fuerza. No había ningún hematoma en el útero pero los ovarios estaban aun muy estimulados y con muchos "cuerpos amarillos" que pueden romperse antes de ser absorbidos. Me recomendó mucha agua y vida tranquila.
¡¡ESTAMOS FELICES!!
No pudimos hacer ninguna foto, pero se veía un poco mejor que el vídeo que colgué hace un par de días. El corazón latía con fuerza. No había ningún hematoma en el útero pero los ovarios estaban aun muy estimulados y con muchos "cuerpos amarillos" que pueden romperse antes de ser absorbidos. Me recomendó mucha agua y vida tranquila.
¡¡ESTAMOS FELICES!!
lunes, 19 de diciembre de 2011
5 semanas y 4 días... Primer día crítico superado
Creo que ya comenté que en mi primer embarazo empecé a tener pérdidas la semana 5. Concretamente fue el día 5+4, o sea, hoy.... y lo hemos superado sin problemas! Todos me dicen que cada embarazo es distinto, pero cuando has pasado por 3 desgracias como las nuestras tiendes a sufrir por cualquier cosa, y, por supuesto, no te crees que éste pueda ser diferente hasta que ha superado a los demás.
En cualquier caso, ¡estoy feliz! Hoy he comprado un gorrito y una bufanda blanca para las próximas navidades... no me he podido resistir! Creo que se lo pondré a mi marido para reyes, jejjee También he pensado en una camiseta del Barça con las letras Papá nº1 en la espalda... no es mala idea, verdad??! Lo pongo en el blog porque, por mucho que me he esforzado, él no se ha dignado a leer más de 3 líneas, jajjaa! Dice que yo ya se lo cuento todo, y tiene razón. Menudos rollos les metemos a veces...
domingo, 18 de diciembre de 2011
5 semanas y 3 días
El pánico.... cada vez que vas al baño, cuando te giras en la cama, al subir una escalera, al agacharte para coger algo del suelo... cada mañana test nuevo... ya lo sé, me estoy volviendo loca. También en mi primer embarazo todo iba bien, los síntomas disminuyeron y ni rastro de pérdidas hasta las 5semanas y 4 días... si paso la próxima semana tranquila y sin sustos creo que podré disfrutar de las navidades.
Mi marido me dice a diario que esté tranquila, y durante el día lo consigo, pero por la noche y al levantarme... que horror. No tengo náuseas ni mareos, ya no me duelen los pechos y la barriga muchísimo menos... el único síntoma es el repentino vacío de estómago que siento hacia la 1 y hacia las 8, una hora antes de comer o cenar, y que sólo me apetecen aceitunas o berberechos con vinagre y pimienta. A veces tengo pinchazos y algún retortijón, pero poco más.
Bueno, supongamos que todo sigue bien :) El embrión tendrá ya 24 días. He encontrado un video de una ecografía de 5+3, si os fijáis se ve el corazoncito al final del video:
Mi marido me dice a diario que esté tranquila, y durante el día lo consigo, pero por la noche y al levantarme... que horror. No tengo náuseas ni mareos, ya no me duelen los pechos y la barriga muchísimo menos... el único síntoma es el repentino vacío de estómago que siento hacia la 1 y hacia las 8, una hora antes de comer o cenar, y que sólo me apetecen aceitunas o berberechos con vinagre y pimienta. A veces tengo pinchazos y algún retortijón, pero poco más.
Bueno, supongamos que todo sigue bien :) El embrión tendrá ya 24 días. He encontrado un video de una ecografía de 5+3, si os fijáis se ve el corazoncito al final del video:
Nosotros tenemos la primera eco el martes, estaré de 5 semanas y 4 días. Ojalá veamos que el saquito está bien situado, el corazón late y el embarazo sigue su curso sin problemas.
viernes, 16 de diciembre de 2011
Resultado Encuesta Positivos FIV
Bueno, finalmente han respondido 25 chicas a la encuesta de positivos FIV. No es mucho para sacar conclusiones y me he dado cuenta que algunas preguntas no estaban bien formuladas, pero aquí tenéis algunas respuestas.
Sobre los valores de la beta no podemos hacer una correlación porque no sé el día de la beta, fallo mío. Por eso he creado otra encuesta para ver los valores con los días post-punción.
http://www.surveymonkey.com/s/K8BXGMF
Han conseguido su positivo....
Las clínicas que han dado el positivo a estas mamás son: Dexeus Barcelona, Virgen del Mar (Almería), Quirón Málaga, GineFIV, H.G Valencia, URH García del Real (Madrid), Clínica Medrano, Gutenberg, Crea Valencia, Virgen de las nieves (Granada), Cefiva, Graciada BCN, IVI Murcia, Cerha (Badajoz), IVI Murcia, Ginemed Sevilla, Institut Marquès, CIRH
Sobre los valores de la beta no podemos hacer una correlación porque no sé el día de la beta, fallo mío. Por eso he creado otra encuesta para ver los valores con los días post-punción.
http://www.surveymonkey.com/s/K8BXGMF
5 semanas y 1 día
Hoy el embrión ya tiene 22 días y su corazón diminuto tendría que empezar a latir. Al llegar a las 6 semanas de embarazo el corazón ya debería latir con un ritmo regular. La incertidumbre te vuelve loca pero tendremos que aprender a vivir con esto entre eco y eco durante 8 meses más.


A partir de los 20 días, el embrión empieza a desarrollar los vestigios de los futuros órganos y aparatos, y en esta etapa resulta muy sensible. El cambio más importante que se produce en esta semana es el doblamiento total del disco embrionario, ya empieza a adoptar la forma de un organismo vertebrado. En su interior se forman las cavidades y membranas que darán lugar a órganos huecos como los pulmones. La parte media de los bordes queda atravesada por el cordón umbilical, que fija el embrión al saco vitelino.
Comienza entonces una fase de crecimiento frenético que dura 4 semanas más, durante la que se van esbozando todos los órganos, sistemas y aparatos del bebé.
De síntomas sigo igual. El dolor abdominal se ha reducido bastante y duermo mejor. No me apetecen nada los dulces y sigo con la barriga hinchada, parece que me hayan hinchado con una mancha.
Ya tengo hora con la comadrona y la primera eco será el día 5 de enero, pero la semana que viene intentaré que me hagan una para pasar unas navidades más tranquilas.
¡Escribiré dentro de un par de días!
miércoles, 14 de diciembre de 2011
4 semanas y 6 días
Mañana ya cumplo 5 semanas... todo bien de momento. Estamos empezando a pensar qué médico nos llevará el embarazo y el parto.
Me noto super sensible emocionalmente... me pongo a llorar por cualquier tontería! Hoy he estado un poco triste, demasiadas horas sola y aun no lo sabe nadie, así que no tengo a quién llamar para que me diga que todo irá bien. Las compis de fiv del foro me ayudan mucho, gracias!!! Al final he acabado llamando a mi marido y él me ha tranquilizado muchísimo... Mañana, fuera tristeza! tengo que disfrutar el momento :)
Tema síntomas, ya os he comentado que los dulces no me apetecen demasiado. Hoy nada de nada, ni la leche de la mañana con galletitas... tengo un montón de chocolate y ni lo he tocado! Como bastante poco y sólo cuando me apetece pero, a pesar de eso, me noto la barriga bastante hinchada.
El embrión ya tiene 20 días y sigue desarrollándose. Espero que esté muy enganchadito y tenga todo lo que necesita.
Ah! hoy he empezado un nuevo libro y una nueva serie: La Felicidad, de F.Torralba y Downton Abbey. Ya os contaré...
Me noto super sensible emocionalmente... me pongo a llorar por cualquier tontería! Hoy he estado un poco triste, demasiadas horas sola y aun no lo sabe nadie, así que no tengo a quién llamar para que me diga que todo irá bien. Las compis de fiv del foro me ayudan mucho, gracias!!! Al final he acabado llamando a mi marido y él me ha tranquilizado muchísimo... Mañana, fuera tristeza! tengo que disfrutar el momento :)
Tema síntomas, ya os he comentado que los dulces no me apetecen demasiado. Hoy nada de nada, ni la leche de la mañana con galletitas... tengo un montón de chocolate y ni lo he tocado! Como bastante poco y sólo cuando me apetece pero, a pesar de eso, me noto la barriga bastante hinchada.
El embrión ya tiene 20 días y sigue desarrollándose. Espero que esté muy enganchadito y tenga todo lo que necesita.
Ah! hoy he empezado un nuevo libro y una nueva serie: La Felicidad, de F.Torralba y Downton Abbey. Ya os contaré...
martes, 13 de diciembre de 2011
4 semanas y 5 días
Hola!
Por aquí seguimos, disfrutando de la super beta. Leyendo el post de ayer me he dado cuenta que no puse mi menú! Bueno, deciros que como comiditas interesantes he hecho Crema de Zanahorias y Lentejas estofadas... mmmmm buenísimas! También compré pescado fresco y fruta, que ya no me quedaba casi nada.
Hoy he tenido el primer asco con la comida... ha sido por culpa de un pollo con queso... tal cual ha entrado, en 5 minutos ha salido. Es normal, entonces, que a las 6 me estuviera tomando un tazón de lentejas de merienda, jejeeje :)
Ahora estoy más animada, pero he pasado todo el día aburrida y de mal humor pero sin saber el motivo. A las 7 ha llegado mi marido y hablando con él me he dado cuenta que estoy asustadísima. El miedo me paraliza y a veces estoy convencida de que algo irá mal. Luego estoy con él y todas las dudas se disipan. Está tan contento que no cabe!! Pero los dos sabemos que las próximas semanas serán cruciales. Si en la eco vemos el corazón y hasta entonces no he tenido pérdidas, estaremos mucho más tranquilos. Espero que esto sea antes de Navidad, así podremos contarlo a la familia con mucha más ilusión.
De síntomas, el dolor de barriga va y viene pero sigo teniéndola hinchada. Ya no tengo tanta sensibilidad en los pechos y empiezo a sentir ganas de comer ciertas cosas que normalmente ni se me pasan por la cabeza.
El embrión tendrá 19 días y mide 1,25mm (para que os hagáis una idea, un grano de arroz mide unos 5mm!). Ya se distingue la placa neural y la estría primitiva. Aquí os dejo una página de una presentación sobre el desarrollo en la semana 4. En las imágenes veréis que pone 4.5sem, significa 4 semanas y 5 días.
lunes, 12 de diciembre de 2011
¡Beta Positiva!
Esta noche no hemos podido dormir... aunque estábamos 99% seguros del resultado siempre tienes una pequeña duda... ¿y si algo va mal y la beta es demasiado baja?
Respecto al embrión, éste ya tendrá 18 días. He leído en algún sitio que el corazón ya empieza a formarse y hacia el día 21 empezará a latir. En una ecografía ya podría verse el saquito gestacional. Mañana me llamarán para programar la primera eco. De momento dejo esta que he encontrado por internet de un embarazo de 4 semanas y 3 días (17 dpo). Ahora ya voy a empezar a contar en semanas... qué emoción! Si todo va bien el bebé nacerá hacia el 16 de agosto de 2012, 38 semanas después de la punción. Los embarazos duran 40 semanas desde la última regla o bien 38 desde la ovulación. Hay muchas calculadoras de fecha probable de parto en internet, por ejemplo www.embarazada.com.
Es día 18 post punción...a las 7 de la mañana ya estábamos en pie, a las 8.30 pinchazo y a esperar... En 2h me tenían que llamar pero me han alargado el sufrimiento hasta las 13h! Sufrimiento en vano, claro... todas vosotras ya lo sabíais, pero nosotros necesitábamos oirlo... 1147 Ul/l!!!! Madre mía, es muchísimo! Sobretodo teniendo en cuenta que la beta más alta que he tenido hasta ahora era de 67 a 14dpo (ahora calculando entiendo que tendría que haber estado por encima de 150...)
¿Habrá sido la onagra que tomé el mes anterior a la punción, el mix de maca, q10 y arginina que tomaba mi marido, el reposo relativo, las comidas sanas desde hace meses, los paseos románticos de cada tarde?? No lo puedo asegurar... pero la verdad es que conseguimos un blastocisto de 5 días fantástico que se ha enganchado con fuerza y parece que nos va a dar muchas alegrías los próximos meses :)
Me he dado cuenta que los tests realizados con el 2º pipí de la mañana siempre me dan una marca más intensa que con el 1º. Incluso hoy, a las 7 de la mañana ha salido una rayita muy marcada pero no tan intensa como la de control. Sin embargo, a las 11....
¡¡Parece más fuerte la raya de hcg que la de control!!! (izquierda hcg, derecha control). Estamos super contentos. Esta tarde voy a comprarme el libro Que se puede esperar cuando se está esperando, ueee!!
Respecto al embrión, éste ya tendrá 18 días. He leído en algún sitio que el corazón ya empieza a formarse y hacia el día 21 empezará a latir. En una ecografía ya podría verse el saquito gestacional. Mañana me llamarán para programar la primera eco. De momento dejo esta que he encontrado por internet de un embarazo de 4 semanas y 3 días (17 dpo). Ahora ya voy a empezar a contar en semanas... qué emoción! Si todo va bien el bebé nacerá hacia el 16 de agosto de 2012, 38 semanas después de la punción. Los embarazos duran 40 semanas desde la última regla o bien 38 desde la ovulación. Hay muchas calculadoras de fecha probable de parto en internet, por ejemplo www.embarazada.com. Estoy pensando qué haremos estas fiestas, cómo lo contaremos a la familia y a los amigos... me temo que voy a pasar otra noche sin dormir! Menudo regalo de Navidad hemos recibido.
domingo, 11 de diciembre de 2011
Betaespera Día 12 - Otra foto de tests positivos
Aquí os dejo una foto más de tests de embarazo positivos. ¡¡Mañana la beta!!
Tests de embarazo de sensibilidad 15mUl/ml
Hoy ha sido un día tranquilo. Ya por la mañana no me encontraba demasiado bien y hemos decidido quedarnos en casa. Ahora me voy a dormir con medio paracetamol y unas décimas de fiebre, espero que no afecte al pequeñín! Mi marido lleva arrastrando un catarro hace una semana y creo que ahora yo estoy igual...
Menú del día
Desayuno
Kiwi y leche calentita con bizcocho
Comida
Crema de zanahoria
Lomo con verduritas
Cena
Sopa
Croquetas de espinacas
Etiquetas:
betaespera,
fiebre,
foto tests positivos
Betaespera Día 11
Al fin una novedad! Esta noche ha sido la mejor de toda la betaespera. A las 7, hora de progesterona, he notado molestias en los ovarios pero me he podido volver a dormir hasta las 10 y nuevo test positivo! Me he levantado de tan buen humor que hasta mi marido ha decidido que íbamos a celebrar el embarazo. Vivimos cerca de un parque natural y hemos reservado mesa en un restaurante casero en plena naturaleza. ¡Hasta me he animado a dar un paseíto!
Comida
Durante el día han vuelto los dolores de barriga, son más en la zona del útero que en los ovarios, aunque a veces me dan unos pinchazos que me quedo tiesa. También me siento más cansada, me he pasado la tarde bostezando... hasta estando de compras! mi marido, riendo, me iba dando codazos ;-)
Hoy noche de clásico Madrid-Barça y siento decir a los madridistas que les están dando un repaso... Estoy en el sofá descansando y tengo bastantes ganas de acostarme, pero hay que apoyar al personal, así que con el fútbol de fondo aprovecho para escribiros e investigar un poco sobre la embriogénesis.
El embrión ya tiene 16 días y empieza a doblarse, aunque no será hasta el día 20 que tendrá esa forma característica de cacahuete. He encontrado por internet algunas presentaciones bastante interesantes sobre las primeras semanas de desarrollo, aquí os dejo unas imágenes de la evolución del embrión durante la 3ª semana de gestación.
El embrión ya tiene 16 días y empieza a doblarse, aunque no será hasta el día 20 que tendrá esa forma característica de cacahuete. He encontrado por internet algunas presentaciones bastante interesantes sobre las primeras semanas de desarrollo, aquí os dejo unas imágenes de la evolución del embrión durante la 3ª semana de gestación.
Menú del día
Desayuno
Desayuno
Bocadillo de pavo
Kiwi
Comida
Ensalada
Carne a la brasa con judías blancas
Tarta de santiago con sorbete de limón
Cena
Sopa
Huevo frito
Pera
Etiquetas:
betaespera,
dolor de barriga,
paseos,
progesterona,
test embarazo
sábado, 10 de diciembre de 2011
Betaespera Día 10
Todo sigue su curso. El nuevo test de esta mañana ha salido un poco más marcado que el de ayer pero sigue sin tener la misma intensidad que la línea de control. El embrión tiene 15 días y sigue desarrollándose.
Hoy he tenido la barriga un poco revuelta (será la crema de verduras??) Bueno, el caso es que sigo con las noches moviditas y el sueño profundo por la mañana.
Mi amiga Marta ha tenido hoy la beta... 900!! Moltes felicitats!! La mía será el lunes, tres días más de sufrimiento... ¿y si hago algo mal? ¿y si me río demasiado, estornudo, toso o me enfado y mi pequeñín se desengancha o deja de crecer?? Con mi historial puede pasar cualquier cosa...
Un síntoma que aun no he comentado y también me pasó en mi primer positivo... los boquerones en vinagre y los berberechos!!! Hoy ya he notado que no me apetece tanto el dulce como el salado y en especial estos dos aperitivos. A mi cuñada le dio por las aceitunas... Creo que se debe al ácido del vinagre. Me he enterado de que los boquerones hay que congelarlos antes, pero confieso que de momento no lo he hecho. El lunes le preguntaré a mi gine a ver qué opina.
Menú del día
Desayuno
Leche con colacao y bizcocho
Comida
Ensalada
Lomo con verduritas
Cena
Sopa
Pan con tomate y quesos
Hoy he tenido la barriga un poco revuelta (será la crema de verduras??) Bueno, el caso es que sigo con las noches moviditas y el sueño profundo por la mañana.
Mi amiga Marta ha tenido hoy la beta... 900!! Moltes felicitats!! La mía será el lunes, tres días más de sufrimiento... ¿y si hago algo mal? ¿y si me río demasiado, estornudo, toso o me enfado y mi pequeñín se desengancha o deja de crecer?? Con mi historial puede pasar cualquier cosa...
Un síntoma que aun no he comentado y también me pasó en mi primer positivo... los boquerones en vinagre y los berberechos!!! Hoy ya he notado que no me apetece tanto el dulce como el salado y en especial estos dos aperitivos. A mi cuñada le dio por las aceitunas... Creo que se debe al ácido del vinagre. Me he enterado de que los boquerones hay que congelarlos antes, pero confieso que de momento no lo he hecho. El lunes le preguntaré a mi gine a ver qué opina.
Menú del día
Desayuno
Leche con colacao y bizcocho
Comida
Ensalada
Lomo con verduritas
Cena
Sopa
Pan con tomate y quesos
Etiquetas:
betaespera,
boquerones,
dolor de barriga,
vinagre
jueves, 8 de diciembre de 2011
Betaespera día 9 - 14dpo Tests positivos
Hoy, jueves 8 de diciembre, se cumplen 4 semanas de la última menstruación y 2 desde la fecundación. El "huevo" ya tiene 14 días y empezamos a llamarlo embrión. Entre el día 14 y el 21 se completa la diferenciación de las 3 capas germinales primarias, ectodermo, endodermo y mesodermo. Se empieza a desarrollado la columna vertebral primitiva. El surco neural se cerrará con rapidez. El intestino anterior se forma de donde brotará la faringe, el esófago, el estómago, el duodeno y el intestino posterior. Tenemos una semana para completar todos estos procesos.
Ya empiezo a tener una buena colección de tests positivos. 11 dpo significa 11 días después de la ovulación, o en caso de FIV, 11 días después de la punción o fecundación (el día 1 dpo sería el día siguiente de la punción)
Esta noche me he vuelto a despertar hacia las 6... tenía bastante dolor de barriga y me he quedado despierta hasta las 7, proges y a dormir tranquilamente hasta las 10.30h. Estos días duermo mejor después de la progesterona de la mañana. Durante el día el dolor de barriga se ha reducido considerablemente. Nos hemos quedado en casa como si fueramos gallinas incubando :) películas, mantita, bizcocho y chocolate caliente.
Menú del día
Desayuno
Zumo de naranja, AAS y Gestagin
Tostadas con jamón dulce y queso
Comida
Lechuga
Tallarines con gambas y verduritas
Kiwi
Cena
Crema de verduras (ya se ha terminado, al fin!)
Croquetas de bacalao
Yogur
Ya empiezo a tener una buena colección de tests positivos. 11 dpo significa 11 días después de la ovulación, o en caso de FIV, 11 días después de la punción o fecundación (el día 1 dpo sería el día siguiente de la punción)
Tests de embarazo de sensibilidad 15mUl/ml
Esta noche me he vuelto a despertar hacia las 6... tenía bastante dolor de barriga y me he quedado despierta hasta las 7, proges y a dormir tranquilamente hasta las 10.30h. Estos días duermo mejor después de la progesterona de la mañana. Durante el día el dolor de barriga se ha reducido considerablemente. Nos hemos quedado en casa como si fueramos gallinas incubando :) películas, mantita, bizcocho y chocolate caliente.
Menú del día
Desayuno
Zumo de naranja, AAS y Gestagin
Tostadas con jamón dulce y queso
Comida
Lechuga
Tallarines con gambas y verduritas
Kiwi
Cena
Crema de verduras (ya se ha terminado, al fin!)
Croquetas de bacalao
Yogur
Etiquetas:
Betaespera 9,
embrion 14 días,
foto tests positivos,
test positivo
Betaespera Día 8 - 13 dpo
Nuevo test a primera hora y positivo! Estoy tan asustada...parece que ahora todo depende de mi y si la beta no sale alta será porque algo ha pasado esta semana. Mi primera beta, a día 14 dpo (días post ovulación o post punción) fue un poco baja, 67mUl/ml. Era demasiado baja y auguraba que algo iría mal. Aun así los médicos me dijeron que habían visto partos de betas de 15! Dos semanas más tarde empecé con pérdidas y detectaron un hematoma en el útero. El bebé aguantó una semana más pero finalmente el hematoma desestructuró el saquito gestacional y tuvieron que hacerme un legrado. Fue el peor día de este año 2011, que se lleva la palma del peor año de mi vida con diferencia :(
Volviendo al momento actual, mi embrión tendrá ya 13 días. Los dolores de barriga han aumentado considerablemente. Hoy he tenido dolores de regla todo el día, a pesar de estar tranquilita en casa del sofá a la silla y viceversa. Los pechos también me molestan más, sobretodo por la noche al tumbarme en la cama. Aiiiii que va a ser un positivo como una casa!!!!! Ojalá... !!!
El embrión ya tiene plena circulación útero-placentaria. La herida de la implantación ya está cerrada. Durante estos días se están produciendo cambios morfológicos en el embrioblasto que originan un disco embrionario bilaminar. Este disco da lugar a las capas germinales que forman todos los tejidos y órganos del embrión. Se forman estructuras extraembrionarias como la cavidad amniótica, el amnios, el saco vitelino, el tallo de conexión y el saco coriónico.
Menú del día
Desayuno
Zumo con Gestagin y AAS
Leche con cereales
Comida
Crema de verduras (no se acaba!!!)
Bistec de ternera
Infusión + Ferrero Rocher...mmmm
Merienda
Kiwi
Tostaditas con queso fresco
Cena
Un poquito de ensalada
Tortilla de patata, cebolla y calabacín
Mousse de limón
Volviendo al momento actual, mi embrión tendrá ya 13 días. Los dolores de barriga han aumentado considerablemente. Hoy he tenido dolores de regla todo el día, a pesar de estar tranquilita en casa del sofá a la silla y viceversa. Los pechos también me molestan más, sobretodo por la noche al tumbarme en la cama. Aiiiii que va a ser un positivo como una casa!!!!! Ojalá... !!!
El embrión ya tiene plena circulación útero-placentaria. La herida de la implantación ya está cerrada. Durante estos días se están produciendo cambios morfológicos en el embrioblasto que originan un disco embrionario bilaminar. Este disco da lugar a las capas germinales que forman todos los tejidos y órganos del embrión. Se forman estructuras extraembrionarias como la cavidad amniótica, el amnios, el saco vitelino, el tallo de conexión y el saco coriónico.
Menú del día
Desayuno
Zumo con Gestagin y AAS
Leche con cereales
Comida
Crema de verduras (no se acaba!!!)
Bistec de ternera
Infusión + Ferrero Rocher...mmmm
Merienda
Kiwi
Tostaditas con queso fresco
Cena
Un poquito de ensalada
Tortilla de patata, cebolla y calabacín
Mousse de limón
Etiquetas:
betaespera,
embrion de 13 días,
implantación
Remedios para la infertilidad
Algunos suplementos alimenticios para la fertilidad, como Androferti o Fertimax, son bastante caros. Pero una buena noticia es que se pueden encontrar los componentes por separado por un precio mucho más asequible. No es tan cómodo como un sobrecito, y te puede parecer que te atiborras de pastillas, pero son suplementos naturales que en una dosis adecuada pueden mejorar la capacidad reproductiva.
Aceite de Onagra: Contiene ácidos grasos que participan en la formación de hormonas, proporcionan energía y ayudan a mantener la temperatura corporal. Indicado para la infertilidad de causa anovulatoria, dolores de menstruación y menopausea.
Maca Andina: Aumenta la producción de espermatozoides así como su motilidad y calidad. Es conocida también por su efecto estimulante de la líbido tanto en hombres como en mujeres. Un estudio del hospital Valle Hebrón de Barcelona demuestra su efectividad.
L-Arginina: Hay varios estudios que demuestran que con un suplemento de L-arginina se incrementa la cuenta de espermatozoides, así como su movilidad.
Coenzima Q-10: Evita la oxidación de la membrana lipídica de los espermatozoides y favorece su movilidad ya que estabiliza la integridad de los flagelos.
Ginseng Koreano: Incrementa la testosterona, la motilidad espermática y el recuento de espermatozoides. El uso en mujeres está indicado para regular el ciclo menstrual.
Combinación C+E+Selenio: aumenta la testosterona y la calidad del esperma. Reduce las anomalías y evita la aglutinación.
Vitamina C: protege a los espermatozoides del daño provocado por la oxidación y además reduce el número de anomalías del esperma . Un suplemento de vitamina C mejora la calidad de los espermatozoides en los fumadores. Cuando los espermatozoides se pegan entre sí (un problema llamado aglutinación), se reduce la fertilidad. La vitamina C reduce la aglutinación de los espermatozoides e incrementa la fertilidad de hombres con este problema. Regenera la forma oxidada de vitamina E.
Vitamina E: es importante para la función gonadal, mejora la movilidad de los espermatozoides y evita la peroxidación lipídica del esperma. Su carácter antioxidante favorece la desintoxicación de algunos metales pesados como el plomo y el cadmio. Junto a algunas vitaminas (A y E) y selenio, protege el ADN de los espermatozoides de la oxidación.
Selenio: participa en la secreción de testosterona y aumenta la movilidad y la calidad del esperma cuando se toma en conjunto con la vitamina E. También aumenta la progesterona. En un estudio de doble ciego de 64 hombres infértiles con motilidad espermática reducida, un suplemento de selenio incrementó en forma importante la movilidad, pero no afectó al recuento de espermatozoides.
Etiquetas:
Complementos,
Fertilidad,
Infertilidad,
Remedios
martes, 6 de diciembre de 2011
Betaespera Día 7 12dpo
Hoy el embrión tendrá 12 días. La herida de la implantación ya estará casi cerrada. El trofoblasto, parte externa del blastocisto, forma unos espacios entre células que van confluyendo hasta formar lagunas. Esta zona es, además, la responsable de generar la hormona hCG. Por la otra cara del trofoblasto se empiezan a crear unas celulas que darán lugar a las vellosidades coriónicas. También se empieza a formar un saco vitelino primitivo y el pedículo de fijación que posteriormente se convertirá en el cordón umbilical.
Por mi parte ha sido un día de celebración familiar. He intentado estar sentadita y no hacer demasiados esfuerzos pero con los sobrinitos ya se sabe...tienes que achucharlos mientras se dejen!!
A primera hora de la mañana he hecho otro pipitest y Positivo! Pero me ha parecido que más suave que ayer... puede ser que aun esté afectada por el Ovitrelle? No creo... he leído que el efecto puede durar hasta 10 días, pero no estoy segura. Mejor no me hago ilusiones hasta el jueves...Ya os contaré.
Menú del día
Desayuno
Leche con galletas digestive de soja y naranja
Comida
Quiche de brócoli y jamón
Lomo con cebollita
Pastel
Cena (va de restos...)
Crema de verduras
Salmón al horno
Pera
Por mi parte ha sido un día de celebración familiar. He intentado estar sentadita y no hacer demasiados esfuerzos pero con los sobrinitos ya se sabe...tienes que achucharlos mientras se dejen!!
A primera hora de la mañana he hecho otro pipitest y Positivo! Pero me ha parecido que más suave que ayer... puede ser que aun esté afectada por el Ovitrelle? No creo... he leído que el efecto puede durar hasta 10 días, pero no estoy segura. Mejor no me hago ilusiones hasta el jueves...Ya os contaré.
Menú del día
Desayuno
Leche con galletas digestive de soja y naranja
Comida
Quiche de brócoli y jamón
Lomo con cebollita
Pastel
Cena (va de restos...)
Crema de verduras
Salmón al horno
Pera
Etiquetas:
betaespera,
implantación,
pipitest positivo
Betaespera Día 6 - 11dpo
Hoy me ha llamado mi buena amiga Marta, que está haciendo el ciclo como yo pero 3 días adelantada, y me ha dicho que está embarazada!!! Bueno, al menos el test así lo indicaba a primera hora de la mañana. Me ha pillado comprando en el super y casi no podíamos parar de reír. Vaya par... ¡¡¡Qué alegría!!! Además me ha dicho que era un positivo muy marcado, así que tiene buena pinta.
Os podéis imaginar lo que ha pasado a continuación, ¿no? Pues me he ido a casa cuál alma perseguida por el diablo pensando..."si a ella le ha dado tan marcado, quizás 3 días antes ya le salía una rayita suave..." Y acto seguido me he hecho un pipitest. No ha sido difícil porque con los litros de agua que llevamos encima lo raro es que no nos hagamos pis por el camino. Al momento no veía nada... pero en 1 minutito allí estaba... la preciosa segunda raya más marcada de lo que yo podía esperar! POSITIVO!!!! Hoy mi mini-embrión tendrá 11 días (es decir, hoy es el día 11 post ovulación) y que haya salido positivo creo que es muy buena señal!
Bueno, me han preguntado en los foros si estamos en las nubes, pero la verdad es que estamos mucho más asustados que antes... ya hemos perdido otros embarazos y uno nuevo sería un golpe fatal. ¡Pero tenemos que ser positivos! De momento parece que todo va bien.
De síntomas sigo como los otros días, dolorcillos de barriga por la tarde y durante todo el día algún que otro pinchazo más fuerte. Los pechos están más sensibles de lo normal, especialmente por la noche.
Si ya he detectado la hormona en la orina significa que al menos hace un par de días que hay circulación útero-placentaria. El embrión sigue su desarrollo protegido en el endometrio. Ahora ya no hay excusas, tengo que estar contenta, pasarle buenas vibraciones, comer perfecto y disfrutar de cada día de vida que le doy a mi pequeñín. Y que sean tantos como tengan que ser.
Menú del día
Desayuno
Leche con colacao y palitos de fibra (mi marido lo llama pienso)
Comida
Ensalada templada de lechuga, bacon y queso de cabra
Entremuslo de pollo a la plancha
Kiwi
Merienda
Donut de chocolate.... un pecado mortal!
Cena
Crema de verduras
Rodaja de salmón al horno
Yogur con muesly
Etiquetas:
betaespera,
embrión 11 días,
implantación,
test positivo
lunes, 5 de diciembre de 2011
Betaespera Día 5 - 10dpo
Hoy hemos visto el primer mercadillo de Navidad. Ha hecho muy buen día y casi no hacía frío, así que el paseo con mi marido ha sido cortito pero genial. Esta semana es la constitución y la Inmaculada, así que estoy encantada por tenerle en casa dos días más! Haremos el árbol y el pesebre :)
Estoy notando que el patrón de dolor de barriga se repite cada día. Por la mañana no tengo ningún síntoma y a medida que pasa el día siento algunos pinchazos y dolor en la zona ovárica. No es insoportable, pero he notado que me ocurre todas las tardes.
Hoy el embrión tendrá 10 días y probablemente ya estará totalmente implantado en el endometrio. Durante estos días algunas mujeres sufren un ligero sangrado, llamado sangrado de implantación, que puede presentarse como pequeños filamentos rojos o hasta un considerable manchado marrón. Yo no he tenido nada de nada... pero tampoco significa que algo vaya mal.
Un test de hCG en sangre ya podría detectar la presencia de la hormona en pequeñísimas cantidades, insuficientes para asegurar que el embarazo sigue adelante. La generación de esta hormona avisa al ovario de que no deje de producir Progesterona, la hormona que se encarga de engrosar y mantener sujeto el endometrio en el útero. Si bajara sus niveles el endometrio caería produciendo la menstruación.
Otros síntomas que he notado son los cambios de humor repentinos. En un segundo puedo pasar de estar feliz a estar super triste. Ah! y también tengo más hambre... pero eso me pasa cuando estoy triste ... ¡el chocolate vuela!
Hasta ahora no he comentado nada del tema aquarius y el agua. La verdad es que en las otras betaesperas tomaba un litro de cada al día, iba al baño cada 5 minutos! estaba inundada... Nemo total. Esta vez un aquarius de litro y medio me ha durado 5 días... Pero agua intento beber cada vez que me acuerdo. Se supone que ayuda a cicatrizar la herida de la punción y la que se produce con la implantación. Bueno, en cualquier caso, seguro que no es contraproducente.
Menú del día
Desayuno
Zumo de naranja
Bocadillo de jamón dulce
Comida
Arroz con butifarra
Kiwi
Merienda
Infusión con chocolatitos y polvorones... :P
Cena
Judía verde
Pescado hervido
Mousse de limón
sábado, 3 de diciembre de 2011
Betaespera Día 4 - 9dpo
Faltan aún 9 días para la beta... qué suplicio! Si mi peque aun sigue adelante ahora tendrá 9 días y está prácticamente incluido en el estroma endometrial.
Poco a poco voy incorporándome a la vida normal. Hoy es sábado y aunque hemos tenido un día tranquilo hemos querido aprovechar el primer fin de semana de luces navideñas. El paseo por la Rambla ha sido precioso. Hemos comprado algunos caprichitos de decoración de Navidad y ya tenemos algunas ideas para la lista de regalos para Reyes. Unos pinchazos y un poco de dolor de barriga han precipitado el final del paseo y mi marido me ha invitado a sentarnos en una preciosa granja a tomar un suizo... Me encantan los fines de semana de invierno! Luego se ha ido al fútbol y me ha dejado con un amigo. Como yo ya empezaba a estar cansadita de caminar y la culpabilidad asomaba tras cada paso, nos hemos metido en el cine: Un método peligroso de Cronenberg. Una película bastante impactante aunque en algún momento un poco lenta. A las 11 en casa, cenar algo, proges y a la camita.
Menú del día
Desayuno
Zumo de naranja
Bocadillo de jamón dulce
Comida
Judía verde con patata y cebolla
Chuleta de ternera
Fruta y unas galletitas
Cena
Sopa
Mousse de limón
Poco a poco voy incorporándome a la vida normal. Hoy es sábado y aunque hemos tenido un día tranquilo hemos querido aprovechar el primer fin de semana de luces navideñas. El paseo por la Rambla ha sido precioso. Hemos comprado algunos caprichitos de decoración de Navidad y ya tenemos algunas ideas para la lista de regalos para Reyes. Unos pinchazos y un poco de dolor de barriga han precipitado el final del paseo y mi marido me ha invitado a sentarnos en una preciosa granja a tomar un suizo... Me encantan los fines de semana de invierno! Luego se ha ido al fútbol y me ha dejado con un amigo. Como yo ya empezaba a estar cansadita de caminar y la culpabilidad asomaba tras cada paso, nos hemos metido en el cine: Un método peligroso de Cronenberg. Una película bastante impactante aunque en algún momento un poco lenta. A las 11 en casa, cenar algo, proges y a la camita.
Menú del día
Desayuno
Zumo de naranja
Bocadillo de jamón dulce
Comida
Judía verde con patata y cebolla
Chuleta de ternera
Fruta y unas galletitas
Cena
Sopa
Mousse de limón
Etiquetas:
betaespera,
blastocisto,
implantación
viernes, 2 de diciembre de 2011
Betaespera Día - 8dpo
Hoy ha sido un día tranquilo y me he encontrado muy bien. He leído Jane Eyre y he escuchado música relajante, la siesta con mi marido y paseíto por primera vez desde la transfer. No se si me he pasado un poco... dos horas después estaba agotada y con dolor de barriga. A casita y a descansar.
Ocho días después de la fecundación, el blastocisto que se compone de unas 200 células en este momento, secreta un moco que revela su presencia en el útero. La zona externa se dividirá en dos capas, una exterior y otra interior. La capa exterior es la que erosiona el endometrio y en un día entra en contacto con los vasos sanguíneos maternos y se alimenta de ellos. El moco del blastocito forma una especie de santuario para el embrión en el útero e informa a la madre para que esta no lo agreda.

En el momento en que empieza el contacto con los vasos sanguineos se crea un vínculo entre madre e hijo. Ésta le alimenta y la placenta del embrión, a su vez, genera hormonas y las transmite a la madre. La hormona gonadotropina coriónica humana se puede detectar en sangre a partir del día 12-15 post fecundación. Cada 48 horas se duplica la concentración de hcg en nuestra sangre. Nuestros riñones, que limpian la sangre, también eliminaran la hormona hcg y será detectable en la orina cuando la concentración sea suficiente.
Menú del día
Desayuno
Ocho días después de la fecundación, el blastocisto que se compone de unas 200 células en este momento, secreta un moco que revela su presencia en el útero. La zona externa se dividirá en dos capas, una exterior y otra interior. La capa exterior es la que erosiona el endometrio y en un día entra en contacto con los vasos sanguíneos maternos y se alimenta de ellos. El moco del blastocito forma una especie de santuario para el embrión en el útero e informa a la madre para que esta no lo agreda.
En el momento en que empieza el contacto con los vasos sanguineos se crea un vínculo entre madre e hijo. Ésta le alimenta y la placenta del embrión, a su vez, genera hormonas y las transmite a la madre. La hormona gonadotropina coriónica humana se puede detectar en sangre a partir del día 12-15 post fecundación. Cada 48 horas se duplica la concentración de hcg en nuestra sangre. Nuestros riñones, que limpian la sangre, también eliminaran la hormona hcg y será detectable en la orina cuando la concentración sea suficiente.
Menú del día
Desayuno
Zumito con Gestagyn y AAS
Leche con colacao y el bizcocho que hice ayer... buenísimo!!
Comida
Pasta con cebollita pochada y berberechos
Yogur con fresas
Cena
Coliflor hervida
Un par de trozos de pizza de verduras
Una pera
uii! ahora me doy cuenta que quizás hoy me he pasado de hidratos... que mal... Mañana carne roja!! hemos comprado unas chuletas carísimas pero tenían una pinta... :)
Buenas noches a todas!
Etiquetas:
betaespera,
blastocisto,
embrión 8 días
jueves, 1 de diciembre de 2011
Betaespera Día 2 - 7dpo
Hoy he escrito mucho en el blog y ando un poco saturada, pero intentaré compilar mi día en algunos párrafos.
He dormido otra vez inquieta. Ayer tuve un disgusto (más bien un enfado tremendo) y acabé llorando... eso de no dominar las emociones lo llevo un poco mal. Me he pasado la noche sintiéndome culpable por no haberme controlado y aunque tuviera razones tendría que habérmelo tomado a broma y seguir disfrutando de mi betaespera. No sé si los enfados y malos humores son contraproducentes, por eso mejor estar tranquilita y feliz.
Como todas, me vuelvo loca pensando en qué posición estoy, si llevo demasiado tiempo sentada o demasiado tiempo de pie, en el estornudo de hace unos minutos o en el gesto que he hecho sin querer en la cocina.... estamos zumbadas! Ante todo, los médicos recomiendan vida tranquila pero normal, así que fuera preocupaciones y carpe diem.
Síntomas: Por la tarde he empezado a sentir pinchazos en la zona de los ovarios, buena señal? mala señal? ni idea.... supongo que buena, espero que signifique que algo está pasando... También tengo los pechos un poco más sensibles que ayer, pero mucho menos que en la punción.
Si todo va bien el embrión estará empezando a implantarse en el endometrio. Podría ser que el embrión no fuera reconocido y la implantación no se pudiera completar, pero espero que eso no ocurra. Reconozco que en muchos momentos me he preguntado: ¿Porqué mi cuerpo no sabe hacer un hijo? Bueno... son preguntas que no llevan a ninguna respuesta.
Menú del día
Desayuno
Zumito con Gestagyn y AAS
Leche con colacao y cereales
Comida
Tomate con mozzarela
Pollo a la plancha
Zumo de frutas trituradas
Merienda
He hecho un bizcocho pero al final no he comido... lo tendré para mañana mmmmm!!
Cena
Sopita de galets
Croquetas de espinacas
Mousse de limón
Etiquetas:
betaespera,
insomnio,
pinchazos
Series y Libros para entretenerse durante la Betaespera
Llevo muuuchas semanas de baja. He empalmado abortos con nuevos intentos y finalmente me he vuelto una experta del reposar.
No me puedo quejar: tengo un marido maravilloso que me prepara las comidas, un sofá de 3x3 (sí, sí en forma de L!) y unos amigos fantásticos que me aconsejan libros, series y películas entretenidas.
Si tu no tienes esta suerte, ¡has llegado al blog adecuado!
Libros recomendados (muy muy de chicas: romances, familias, misterio...)
- El tiempo entre costuras de María Dueñas
- Criadas y señoras de Kathryn Stockett
- Romeo y Julieta (versión en castellano antiguo) Lloraréis como nunca!
- El salón de Ambar y El último catón de Matilde Asensi
- Jane Eyre de Charlotte Brontë
- El club de los viernes de Kate Jacobs
- Un verano en Sicilia de de Marlena de Blasi
- El nombre del viento de Patrick Rothfuss (de género fantástico pero muy entretenido)
- Por último los de Danielle Steel, siempre románticos y optimistas.
Series recomendadas (las hemos visto durante los últimos años)

Para ver tu sola...
- One tree hill
- Army wives
- Vampire Diaries
- Gossip Girl
- Life Unexpected
- Verónica Mars
- The good wife
Para ver con tu chico...
- Alias
- Como conocí a vuestra madre
- Bones
- Eli Stone
- Lie to me
- Juego de tronos
- Prison Break
- House
- Fringe
- Lost
Películas que me han hecho reír mucho (y acabar llorando por culpa del desmadre de hormonas!) ... si me recomendáis otras, las añadiré a la lista.

- Resacón en las vegas (I y II)
- Hermanos Marx
- Shrek
- Notting Hill
- Algo pasa con Mary
- La loca historia del mundo
- Mickey ojos azules
- Rushmore
...
Se aceptan otras recomendaciones!!
No me puedo quejar: tengo un marido maravilloso que me prepara las comidas, un sofá de 3x3 (sí, sí en forma de L!) y unos amigos fantásticos que me aconsejan libros, series y películas entretenidas.
Si tu no tienes esta suerte, ¡has llegado al blog adecuado!
Libros recomendados (muy muy de chicas: romances, familias, misterio...)
- El tiempo entre costuras de María Dueñas- Criadas y señoras de Kathryn Stockett
- Romeo y Julieta (versión en castellano antiguo) Lloraréis como nunca!
- El salón de Ambar y El último catón de Matilde Asensi
- Jane Eyre de Charlotte Brontë
- El club de los viernes de Kate Jacobs
- Un verano en Sicilia de de Marlena de Blasi
- El nombre del viento de Patrick Rothfuss (de género fantástico pero muy entretenido)
- Por último los de Danielle Steel, siempre románticos y optimistas.
Series recomendadas (las hemos visto durante los últimos años)

Para ver tu sola...
- One tree hill
- Army wives
- Vampire Diaries
- Gossip Girl
- Life Unexpected
- Verónica Mars
- The good wife
Para ver con tu chico...
- Alias- Como conocí a vuestra madre
- Bones
- Eli Stone
- Lie to me
- Juego de tronos
- Prison Break
- House
- Fringe
- Lost
Películas que me han hecho reír mucho (y acabar llorando por culpa del desmadre de hormonas!) ... si me recomendáis otras, las añadiré a la lista.

- Resacón en las vegas (I y II)
- Hermanos Marx
- Shrek
- Notting Hill
- Algo pasa con Mary
- La loca historia del mundo
- Mickey ojos azules
- Rushmore
...
Se aceptan otras recomendaciones!!
Etiquetas:
libros recomendados,
Series recomendadas
Encuestas FIV
He creado dos encuestas que me han parecido interesantes. Tienen 10 preguntas cada una y dentro de unos días publicaré los resultados.
La primera encuesta es sobre tratamientos FIV en general:
http://www.surveymonkey.com/s/ QMGMSSB
La segunda es sobre síntomas de Betas Positivas después de FIV:
http://www.surveymonkey.com/s/ QFSWPZQ
Chicas, contestad rápido y dentro de unos días compartiré los resultados!!
La primera encuesta es sobre tratamientos FIV en general:
http://www.surveymonkey.com/s/
La segunda es sobre síntomas de Betas Positivas después de FIV:
http://www.surveymonkey.com/s/
Chicas, contestad rápido y dentro de unos días compartiré los resultados!!
Etiquetas:
beta positiva,
encuesta,
FIV,
síntomas
Suscribirse a:
Comentarios (Atom)









